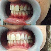
Nuestras coronas de porcelana cumplen con su principal objetivo que es recobrar el funcionamiento normal de nuestra dentadura cuando se ha tenido que retirar alguna o algunas piezas, porque se han dañado o se han debilitado.
Una corona dental es una prótesis fija, ya sea de porcelana, circonio o metal/porcelana, se coloca sobre el diente existente fortaleciéndolo y proporcionándole un mejor aspecto, en Dental Evolution Cancún garantizamos la apariencia natural de nuestras coronas de porcelana.
Las coronas de porcelana tienen un espesor que oscila entre 1-1.8 mm, pueden ser solo de porcelana o también puede ser la porcelana más un núcleo de metal o circonio para darle más consistencia.
Son muchas las ventajas que nos proporciona este procedimiento una corona dental es muy importante a la hora de proteger la raíz dental.
¡Dental Evolution te da 5 años de garantía en cambio de coloración o fractura de la corona!

- Poseen dientes irregulares.
- Piensan que su sonrisa es fea.
- Tienen los dientes manchados.
- Sus dientes se han debilitado por diversos motivos.
- Se han sometido a una endodoncia.
- Como apoyo a un puente.
La respuesta es no, la corona no se notara pues al estar hecha de un material sintético este puede adaptarse perfectamente al diente existente y como también se puede igualar el color al resto de la dentadura, la corona, no se notara.
Es muy importante tomar la decisión de blanquear la dentadura antes de la instalación de la corona, una vez elegido su tono y coloración este no cambiara, la corona mantendrá su color original.
Durará tanto tiempo como el cuidado que se tenga para con ella, su médico especialista se encargara de proveerle de las indicaciones pertinentes que le aseguren varios años de vida útil a su pieza, cabe señalar que al tratarse de una prótesis, esta no se careara, sin embargo la base del diente es muy delicada y si podría llegar a carearse, se recomienda hacer un limpieza meticulosa diariamente y asistir al dentista cada seis meses para una limpieza, sacar radiografía de esta una vez al año para checar las condiciones en las que se encuentra, si estas acciones tan sencillas no se llevaran a cabo estaríamos corriendo riesgos y exponiéndonos a complicaciones al grado de tener que desechar la corona e instalar una nueva, quizá habría que hacer un alargamiento de las encías, darle tratamiento al nervio y dependiendo del grado de deterioro, la pieza dental podría perderse.

No, las coronas dentales no se pueden quitar una vez que han sido instaladas, si por alguna razón estas llegaran a caerse, le recomendamos acudir inmediatamente a consulta para una revisión pues esto nos está indicando que existe un problema, de ninguna manera son buenas noticias cuando estas se caen.
El primer paso es prepara el diente reduciéndolo para acomodar la corona sobre él, si es necesario se hace un poste y una reconstrucción del mismo, preparado el diente se hace una impresión con un material especial con el objeto de realizar una corona provisional y se envía la información al laboratorio dental, cuando la corona esta lista se evalúa junto con el paciente, si ha quedado como se esperaba se procede a cementar y el tratamiento estará listo.
Las coronas dentales están conformadas de dos partes, la exterior y la interna, como su nombre lo indica la externa es la que vemos y es de porcelana, es la que le dará la apariencia a nuestra pieza dental, la parte interna es muy importante, ya que le dará fortaleza y estructura al diente, pueden ser de Metal, Porcelana o Zirconio, en Dental Evolution en Cancún utilizamos las mejores marcas del mercado de estos materiales.
Las coronas de metal tienen más de 70 años de ser evaluadas se recomiendan para piezas posteriores y pacientes que tienen mordida fuerte ya que son resistentes y con cierta flexibilidad que evita que la corona dental se quiebre. En Dental Evolution, utilizamos coronas de metal con alto contenido en “metales nobles” que aportan mejores resultados. El metal va por dentro, cubierto de porcelana del color del resto de tus dientes lo que le da un aspecto más estético.
Las coronas de porcelana tiene un sustrato resistente, recomendadas para la restauración de los dientes posteriores y en pacientes que están buscando estética al 100%, libre de metal. Estas coronas no se utilizan en puentes, solo piezas individuales tanto anteriores como posteriores.
Las coronas de zirconia son de porcelana reforzada por oxido de Zirconio por lo que son más resistentes que las de porcelana, son recomendadas para piezas posteriores e inclusive en puentes estéticos libres de metal para aquel paciente que busca estética y resistencia.
¿Requiere de una cotización? ¡Contáctenos!
Dirección: Plaza Hollywood Local 25 Av. Coba Mz. 1 Lt. 1 Sm 35, Cancún, Quintana Roo, C.P. 77508
Desde Cancún:
(998) 887-85-61
(998) 884-86-81
Toll Free: USA & Canada
01800-839-2767
(998) 172-40-68
Odontología Estética
Implantes Dentales
Emergencia Dental
Odontología General
Otras Especialidades
Todos los derechos reservados Dental Evolution 2015