Toll Free:
USA & Canada
1 866-218-0980
84-447-8793
Toll Free:
From Canada
1-844-214-2169
From Cancun:
WhatsApp:
(998) 887-85-61
(998) 884-86-81
(998) 172-40-68
BLOG
CONTÁCTANOS
EN EL MUNDO HAY CIENTOS
DE IDIOMAS, PERO UNA SONRISA LOS
HABLA TODOS
Lunes a Viernes de 9 am - 8 pm
Sábado de 9 am - 5 pm
¿Qué es una corona de porcelana?Una corona dental es una prótesis fija, una restauración que tapa completamente un diente. Las coronas se pueden hacer de muchos materiales: porcelana, zirconia, o una combinación de metal / porcelana.
Se coloca en un diente existente para fortalecer y mejorar su apariencia.
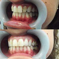
En Dental Evolution en Cancún garantizamos el aspecto natural de nuestras coronas de porcelana.
- Tiene dientes irregulares
- Están descontentos con su sonrisa
- Tiene dientes manchados
- Tener dientes debilitados debido a varias razones
- Como soporte para un puente
- Dientes tratados endodónticamente (conducto radicular
Los tipos de materiales utilizados:
* La cantidad de la estructura original del diente que requiere la extracción dependerá del material que se utilice para restaurar el diente.
Línea oscura en el diente: La presencia de un componente metálico es lo que hace que aparezca una línea oscura en el área donde una corona se encuentra con un diente, generalmente a lo largo de la línea de las encías. En el caso de una restauración de diente frontal, esto podría ser un problema real. Además, si tiene recesión de las encías, esta línea oscura de metal puede ser más visible.
Se necesita más recorte de dientes: Con el fin de colocar una corona de metal / porcelana, el dentista por lo general necesita eliminar una cantidad significativa del diente original, en comparación con las coronas de circonia. Sin embargo, esto no siempre es una preocupación.
Paso 1: Rayos X y una evaluación completa.
Paso 2: Tome una impresión con el propósito de crear una corona temporal.
Paso 3: La estructura restante del diente se formará para hacer espacio para el nuevo material.
Paso 4: Una exploración dental en nuestra clínica, Evolución Dental en Cancún, con nuestro SCANNER CS500 de CARESTREAM, o una impresión normal.
Paso 5: Los resultados se envían al laboratorio para iniciar la producción.
Paso 6: Una corona temporalmente agradable, temporal se coloca sobre el diente durante unos días.
Paso 7: Se hace una cita para la colocación de la corona permanente.
Necesitaremos visitar Cancún de 3 a 6 días hábiles; Más tiempo puede ser necesario, dependiendo del número de coronas.
Primera cita
* El tiempo necesario entre las dos visitas es de 3-6 días hábiles, dependiendo del número de coronas.
•2da cita: El médico muestra las coronas permanentes al paciente antes de cimentarlas en su lugar, si le gustan (color, forma, todos los detalles), CIMENTAMOS las coronas en su lugar.
En Dental Evolution, estamos orgullosos de usar sólo los mejores materiales dentales del mercado. Utilizamos porcelana 100% (disilicate E-MAX PRESS) para todas nuestras carillas dentales y coronas. Vienen con una garantía increíble de 5 años, si su corona se decoloran o se astillan con gusto lo reemplazaremos sin costo adicional.
Nuestras restauraciones dentales son extremadamente precisas porque utilizamos la última tecnología disponible, nuestro Escáner CS3600 de CareStream. Este escáner proporciona mediciones exactas y, en consecuencia, más precisión.

Va a durar mientras el cuidado que usted tiene para él hace. Su dentista especializado le proporcionará la información relevante que le asegurará años de uso para su corona dental. Cabe señalar que una corona es una prótesis, y por lo tanto una cavidad no puede formarse sobre ella, sin embargo la base de la corona es su diente natural y es muy delicada y susceptible a la formación de la cavidad. Una limpieza meticulosa se recomienda sobre una base diaria, y una visita al dentista para una limpieza más profunda, cada seis meses. Una vez al año, se debe realizar una radiografía para comprobar el estado de su corona. Al no ocuparse adecuadamente de su corona, usted está tomando el riesgo de complicaciones potenciales que podrían significar tener que quitar la corona existente para reemplazarla por una nueva, o tal vez un procedimiento de alargamiento de la corona para exponer más del diente, el tratamiento de la corona Nervio o dependiendo del grado de deterioro, el diente podría perderse por completo.
No, las coronas dentales no pueden ser removidas una vez que han sido cementadas en su lugar. Si por alguna razón una corona se cae, le sugerimos que programe una cita inmediatamente, porque esto es una indicación de que hay un problema.
El primer paso en la preparación del diente es quitar las partes del diente que son necesarias para poder colocar la corona sobre él, si es necesario, se hace un poste y el diente puede necesitar ser reconstruido parcialmente. Una vez que se prepara el diente, se hace una impresión con un material especial para hacer una corona temporal y la información se envía al laboratorio dental. Cuando la corona permanente está lista, es evaluada por el dentista y el paciente, juntas, y si es aceptable, el procedimiento se completa cementando la corona en su lugar.
Las coronas dentales se componen de dos partes, la externa y la interna. Como su nombre lo indica, la parte exterior de la corona es la parte que es visible, está hecha de porcelana o circonio, y es la parte que da forma y un aspecto natural a tu diente. La parte interna es extremadamente importante, dando fuerza y estructura al diente, puede ser metal, porcelana, o zirconia. En Dental Evolution en Cancún, seleccionamos nuestros materiales de las mejores marcas del mercado.
Estos materiales de la corona dentales ofrecen el aspecto más natural a su boca, ya que se puede hacer que se vea como dientes reales. Para aquellas personas que son alérgicas al metal, o que prefieren no tener coronas de metal, toda la porcelana o todas las coronas de cerámica son una excelente opción.
Las coronas de porcelana tienen un sustrato resistente y se recomiendan para la restauración de dientes posteriores y para los pacientes que buscan una pareja perfecta a sus dientes naturales que es libre de metal. Las coronas de porcelana se utilizan sólo en dientes individuales, delanteros o traseros, y no en puentes.
Las coronas de circonio están hechas de porcelana reforzada con óxido de zirconio, haciéndolas más resistentes que las coronas hechas solamente de porcelana. Coronas de circonio se recomiendan para los dientes posteriores y también se puede utilizar para un puente libre de metal cuando un paciente está buscando una opción estética y resistente.
¿Requiere de una cotización? ¡Contáctenos!
Un equipo de dentistas profesionales se pondrá en contacto contigo
My experience with Dental Evolution was amazing and I just love it because the doctor is so gently, I almost fall asleep because he did a great job, I recommend them for everybody because they just work perfect.
Helen from Canada (19, nov)
Desde Cancún:
(998) 887-85-61
(998) 884-86-81
(998) 172-40-68
Toll Free:
From Canada
1-844-214-2169
Toll Free:
USA & Canada
1-866-218-0980
84-447-8793
Odontología Estética
Implantes Dentales
Odontología General
Dentaduras
Emergencia Dental
Otras Especialidades
Todos los derechos reservados Dental Evolution 2015 - Aviso de Privacidad