Toll Free:

USA & Canada

1 866-218-0980

84-447-8793

Toll Free:

From Canada

1-844-214-2169

From Cancun:

WhatsApp:

(998) 887-85-61

(998) 884-86-81

(998) 172-40-68

EN EL MUNDO HAY CIENTOS

DE IDIOMAS, PERO UNA SONRISA LOS

HABLA TODOS

¿Estas buscando Dentistas Profesionales en Cancún?

Solicita una Cita!

Nombre es requerido

Home

/ Galería antes y después / Cronas de Porcelana

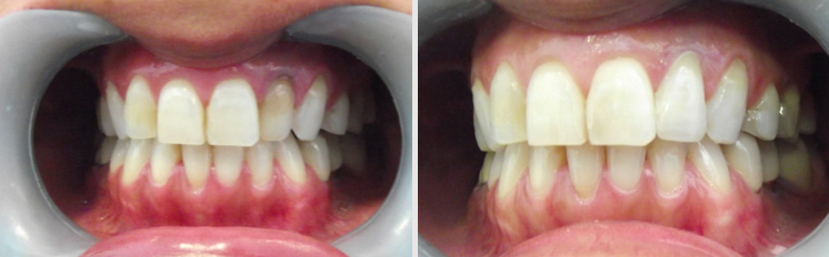
Galería de Coronas de Porcelana

Una razón para volver a sonreír

Todos los casos que se muestran a continuación se llevaron a cabo y se completaron en nuestra clínica. Si usted tiene alguna pregunta , póngase en contacto con nosotros. Desde Cancún: (998) 887-85-61  y  (998) 884-86-81

¿Requiere de una cotización? ¡Contáctenos!

Un equipo de dentistas profesionales se pondrá en contacto contigot

Odontología General

Otras Especialidades

Dentistas en Cancún, Emergencia Dental

Abiertos de:

Desde Cancún:

(998) 887-85-61

(998) 884-86-81

WhatsApp

(998) 172-40-68

Toll Free:

From Canada

1-844-214-2169

Toll Free:

USA & Canada

1-866-218-0980

84-447-8793

Emergencia Dental

Otras Especialidades

Turismo Dental en Cancún

- Solicita una Cotización

- Todo sobre su Clínica Dental Evolution

- Por que Cancún es el mejor destino

  en Turismo Dental

Todos los derechos reservados Dental Evolution 2015 -  Aviso de Privacidad