Toll Free:
USA & Canada
1 866-218-0980
84-447-8793
Toll Free:
From Canada
1-844-214-2169
From Cancun:
WhatsApp:
(998) 887-85-61
(998) 884-86-81
(998) 172-40-68
BLOG
CONTÁCTANOS
EN EL MUNDO HAY CIENTOS
DE IDIOMAS, PERO UNA SONRISA LOS
HABLA TODOS
Lunes a Viernes de 9 am - 8 pm
Sábado de 9 am - 5 pm
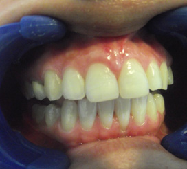
Cuando bebemos café, refresco de cola o se tiene el pésimo habito del tabaquismo además de una mala técnica de cepillado no somos conscientes del enorme perjuicio que le estamos ocasionando a nuestra dentadura, la consecuencia, dientes amarillentos, opacos y una sonrisa, deslucida, nuestro equipo de dentistas en Cancún tienen la solución a su alcance, efectiva y accesible, pues contamos con la tecnología de punta que le hará brillar a cada sonrisa.
El blanqueamiento foto láser comúnmente conocido como blanqueamiento láser y el blanqueamiento nocturno son procedimientos estéticos dentales mediante los cual se consigue eliminar las manchas color ámbar que tanto afean nuestra sonrisa y a la que por desgracia y sin darnos cuenta ya nos hemos acostumbrado a ver reflejada en el espejo, ignorantes de la existencia de estas maravillosas alternativas.
El blanqueamiento láser consiste en aplicar sobre los dientes un gel a base de peróxido de hidrógeno al 25% cuyo efecto se activara al momento de aplicar la luz foto láser emitida que es inferior a los 400 nm, el resultado: dientes libres de manchas, blancos y brillantes.
¡En una hora sales con tus dientes más claros y limpios!



En la primera cita se toman las muestras al paciente para elaborar las guardas que son una especie de fundas, en las que se pondrá el blanqueador que es a base de peróxido de carbamida las guardas se usarán toda la noche o por lo menos seis horas durante de 10 a 12 noches, este procedimiento incluye también su limpieza regular en nuestra clínica dental y los resultados los observará a partir del 3er días
La duración del tratamiento de blanqueamiento nocturno dependerá de que tan manchados estén los dientes, por ejemplo, los dientes amarillentos son más fáciles de blanquear que los grisáceos, y los dientes jóvenes blanquean más rápido, la duración aproximada es de 10 a 14 días.
Esta técnica se aplica en casa con cubetas nocturnas creadas específicamente para cada paciente, siempre bajo estricta supervisión médica.
¿Requiere de una cotización? ¡Contáctenos!Un equipo de dentistas profesionales se pondrá en contacto contigoClic Aquí
Como ya lo habíamos comentado anteriormente se debe a beber en exceso café y refrescos de cola, al tabaquismo, a una mala técnica de cepillado además factores como la edad avanzada o la ingesta de algunos medicamentos como son las tetraciclinas pueden incluso hacer que los dientes tomen una desagradable coloración grisácea.
Esta técnica se realiza en consultorios de dentistas o en clínicas dentales, en Dental Evolution en Cancún poseemos la tecnología, que nos permite realizar con maravillosos resultados este procedimiento.
¿Cuántas veces tengo que acudir con el dentista para que mi tratamiento esté terminado?
Es posible que usted tenga que recibir primero una limpieza en la que se elimine la placa bacteriana y de esta forma dejar preparados sus dientes para una segunda consulta en la que se aplicara el procedimiento, el blanqueamiento láser por si solo, se lleva a cabo en una sola consulta, todo depende de cada caso en particular.
El blanqueamiento láser arroja resultados inmediatos usted se ira a su casa con los dientes limpio, blancos y brillantes.
El tiempo de duración varía de persona a persona pero por lo general, el tiempo de duración es aproximadamente de cinco años.
Ninguno de los blanqueamientos mencionados anteriormente daña los dientes y no los desgasta su función es eliminar pigmentos que con el paso del tiempo vamos adquiriendo por dienta, hábitos, edad, medicamentos, etc.
Estos tratamientos dentales tienen que estar bajo supervisión de un especialista dental y acudir a nuestra clínica dental para evitar que les realice este procedimiento con lámparas que produzcan calor lo cual si podría afectar el estado de sus dientes
De entre todas las técnicas de blanqueamiento dental y tomando en cuenta que caro es lo que no lo vale, tenemos un precio justo para nuestros pacientes, además de la ventaja de que en aproximadamente en una hora u hora y media sus dientes estarán radiantes, bien vale la pena, no será un gasto sino una inversión en lo más valioso que usted posee, su persona.
En Dental Evolution tenemos los precios más accesibles del mercado, contáctenos, nuestros costos le harán sonreír.
My experience with Dental Evolution was amazing and I just love it because the doctor is so gently, I almost fall asleep because he did a great job, I recommend them for everybody because they just work perfect.
Helen from Canada (19, nov)
Desde Cancún:
(998) 887-85-61
(998) 884-86-81
(998) 172-40-68
Toll Free:
From Canada
1-844-214-2169
Toll Free:
USA & Canada
1-866-218-0980
84-447-8793
Odontología Estética
Implantes Dentales
Odontología General
Dentaduras
Emergencia Dental
Otras Especialidades
Todos los derechos reservados Dental Evolution 2015 - Aviso de Privacidad