Toll Free:
USA & Canada
1 866-218-0980
84-447-8793
Toll Free:
From Canada
1-844-214-2169
From Cancun:
WhatsApp:
(998) 887-85-61
(998) 884-86-81
(998) 172-40-68
BLOG
CONTÁCTANOS
EN EL MUNDO HAY CIENTOS
DE IDIOMAS, PERO UNA SONRISA LOS
HABLA TODOS
Lunes a Viernes de 9 am - 8 pm
Sábado de 9 am - 5 pm
Este procedimiento data de 1990, está indicado para personas que necesitan rehabilitar uno o ambos maxilares con carencia de dientes y que desean sustituir su prótesis dental móvil por una alternativa más eficaz higiénica, natural y cómoda.
ALL ON 4 – ALL ON 6 es un puente de titanio porcelana que se fija por medio de implantes, se puede realizar en pacientes con bajos niveles de densidad ósea sin necesidad de recurrir a un injerto de hueso, esto claro, dependiendo de cada caso en particular, este procedimiento utiliza 6 o 4 implantes dentales cuyo objetivo es dar un mayor soporte, los implantes dentales instalados poseen un tope de anclaje y angulo de colocación bien resuelto, es un procedimiento mínimamente invasivo, sin dolor y no requiere de múltiples cirugías por lo que la recuperación es sorprendentemente rápida en personas con un estado de salud general bueno, aproximadamente tres días con un poco de molestia y una recuperación completa pasadas tres semanas, sin embargo, cabe mencionar que se debe esperar seis meses a que el proceso de osteointegracion de los implantes dentales sea completo.
Elegir entre ALL ON 6 o ALL ON 4 es una decisión que nuestros dentistas especializados toman en Dental Evolution Cancún, dependiendo de cada caso en particular, una vez que se ha hecho la revisión, los exámenes pertinentes y explicado a nuestros pacientes las alternativas y características de cada una de estas dos opciones.
Colocar ALL ON 6 brinda una mayor estabilidad a los pacientes que poseen una menor densidad ósea y su masticación es más constante y potente, mientras que ALL ON 4 es recomendado para los pacientes que tienen una mejor constitución ósea maxilar y, en ambos casos cuando se desea obtener estabilidad a través de una nueva dentadura que con este sistema de implantes dentales a manera de pilares, servirá a una prótesis puente que ira atornillada o fija firmemente en cualquier arco de la boca, dando la posibilidad y la libertad de morder y masticar con más confianza.
Ya sea que la decisión sea ALL ON 6 u ALL ON 4 es siempre más acertado colocar estos implantes dentales en la parte frontal de la dentadura ya que es en esa parte de la mandíbula donde el hueso tiene mayor densidad, la prótesis de titanio se montara en este sistema de pilares y tendrá capacidad para dar cabida a 12 o 14 dientes, una vez instalada la prótesis no habrá necesidad de volver a quitarla, la higiene dental consistirá en enjuagues bucales y cepillado tal como se haría con una dentadura original, usted notara la diferencia, su sonrisa y función oral mejoraran notablemente.
Otro gran beneficio que este procedimiento aporta es el ahorro, ya que en el sistema de implantes dentales tradicionales se coloca un implante dental para cada diente, lo que generaría una diferencia en cuanto a costos.
En nuestra clínica dental en Cancún, factores como rasgos faciales, fuerza masticatoria, baja o alta línea de la sonrisa, labio hiperactivo, reabsorción de hueso, estado general de salud, situación emocional, entre otros, son meticulosamente estudiados y tomados en cuenta a la hora de elegir el procedimiento que mejor se adapte a las necesidades y expectativas de nuestros pacientes, en Dental Evolution en Cancún tenemos una completa y radiante sonrisa esperando por usted a un costo muy accesible, en sus próximas vacaciones no olvide visitarnos.


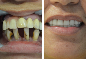
Implantes Dentales All on 4, antes y después
¿Requiere de una cotización? ¡Contáctenos!Un equipo de dentistas profesionales se pondrá en contacto contigoClic Aquí
Beneficios de los implantes All on 4 o All on 6
My experience with Dental Evolution was amazing and I just love it because the doctor is so gently, I almost fall asleep because he did a great job, I recommend them for everybody because they just work perfect.
Helen from Canada (19, nov)
Desde Cancún:
(998) 887-85-61
(998) 884-86-81
(998) 172-40-68
Toll Free:
From Canada
1-844-214-2169
Toll Free:
USA & Canada
1-866-218-0980
84-447-8793
Odontología Estética
Implantes Dentales
Odontología General
Dentaduras
Emergencia Dental
Otras Especialidades
Todos los derechos reservados Dental Evolution 2015 - Aviso de Privacidad